Welcome to
Mermaid Beach Dentist
Mermaid Beach Dental Practice
{Number}
Mermaid Beach
{Region}
Dr {Dentist} Cosmetic Dentistry Cosmetic Dentistry (LVI) Crowns Dental Crowns Cadcam Cerec Crowns Bridges Tooth Whitening Veneers Implants Orthodontics Braces and More Childrens Dentistry Root Canal Treatment Endodontics White Fillings Dentures Neuromuscular Dentistry Migraines Migrane Headaches Prosthodontics Endodontic Adults and Braces Airways and Obstructive Sleep Apnea Art of Dentistry Cosmetic Options Damon Braces Dentistry Terms Explained Diastemas and Treatment Options Early Orthodontics May Mean Less Treatment Later Emergency Dentist Family Dentistry Frequently Asked Questions Invisalign Invisalign Clear Braces Invisible Braces LVICosmeticSpecialists Nervous Patient Porcelain Veneers Protecting Your Healthy Smile While Wearing Brace Show Dentists Smile Makeover Space Maintainers For Premature Tooth Loss Teeth Whitening Temporomandibular Jaw Disorders Tooth Coloured Braces Wearing and Caring For Your Braces Retainer Dental Prosthetists Maxillofacial & Oral Surgeons Sedation - Pain Free - Sleep All on 4 Implants Are You a Nervous Patient Childhood Orthodontics Jaw Disorders No Gap Dentists Sports Mouth Guards Site Map

Mermaid Beach DentistCosmetic Dentistry

The most important decision you have to make is choosing the right Cosmetic Dentist.

Why choose an LVI trained cosmetic dentist?

Here in Australia it is very important to be aware that Cosmetic Dentistry is not a specialty.

Any dentist can call themselves a Cosmetic Dentist, even when they haven't had specific training in cosmetic dentistry.

Mermaid Beach Dentist are experts in Cosmetic Dentistry.

Dr Dentist has completed advanced training at the Institute for Advanced Dental Studies, a world renowned post graduate school for advanced dental education based in the United States.

These LVI cosmetic dentists are among the best, most experienced dentists found anywhere in the world.

From over 10,000 dentists throughout Australia and New Zealand - there are fewer than 150 LVI trained Cosmetic Dentists.

Cosmetic Dentistry is all about making people look and feel good about themselves and improving their self confidence.

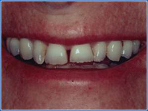
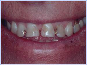
Teeth that are discolored, worn, crooked, chipped,  spaced, overlapped or old dentistry that is obviously not "real", can all add up to create a smile that just doesn't reflect the way the person feels on the inside.

With today’s technology, materials and a highly trained teams of dentists and ceramists here at Mermaid Beach Dentist we are able to provide you with a beautiful natural smile which will probably be beyond your wildest expectations.

When selecting a cosmetic dentist ask about his/ her credentials.

Most have web sites these days where you can find out where and when they graduated, how many additional courses or training they have undertaken since their graduation.

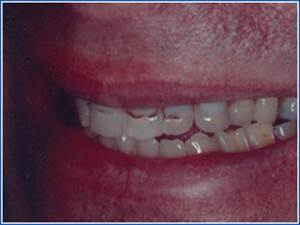
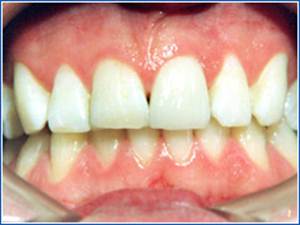
A good cosmetic dentist should be proud to show off their work and be willing to show a photo album of “before and after” pictures of actual patients smiles that they have completed.

Are the smile pictures hanging on the surgery walls pictures of happy patients or paid for generic photos?

Mermaid Beach DentistCosmetic Dentistry

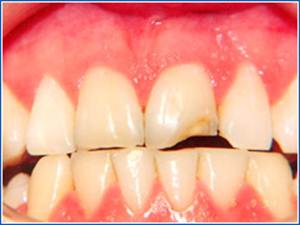
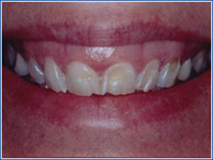
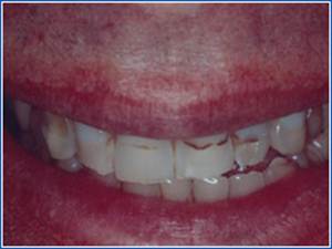
People seek cosmetic dentistry for a variety of reasons. Some people simply want to look younger, and cosmetic dentistry is like a dental faceliftthat can quickly "reverse" the natural aging process of the teeth. Many patients have had unattractive teeth their whole lives and have always felt self-conscious because of them. They will rarely smile, which can often hide a warm side of their personality.

Mermaid Beach Dentist dentistry offers a wide variety of treatment options for people seeking to enhance their smile. The options range from porcelain veneers to braces

 In many cases, a combination of these techniques is required to deliver the best results.

This page will outline the many different techniques available in the field of cosmetic dentistry and show you the benefits of each

If you have ever thought about cosmetic dentistry, this guide may be extremely helpful in understanding what is possible.

Mermaid Beach Dentist Making That First Impression Last a Lifetime

A beautiful smile is one of the most important things a person possesses. It doesn’t only make a good first impression but it will also give memories that can last a lifetime.

A smile can really affect the way you look that even tiny changes can make a big difference in the way you look and the way you feel. Cosmetic Dentistry is our solution for you to have the perfect smile you have always dreamed of having. With the combination of art and the latest technology in dental science, it is now possible for us here at Mermaid Beach Dentist to enhance the aesthetics and functional nature of your smile.

We always make it a point that our dentists are up to date with the latest cosmetic technology, equipment and techniques. Dr Dentist have undertaken extensive Cosmetic Dentistry training, what this means is that you are closer to having the best smile that you can have.

Cosmetic Dentistry can offer you a variety of services to help improve your smile. Here, we have listed our cosmetic treatments below:

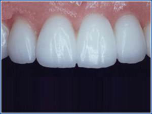
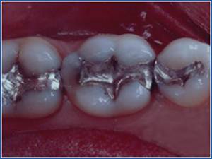
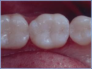
Mermaid Beach DentistPorcelain Veneers

Porcelain Laminate Veneers, or simply "veneers", are custom-made porcelain wafers that the dentist places over the fronts of the teeth to enhance their appearance and also to repair damage. Veneers can dramatically change a person's smile and help improve their self-confidence. In the 1920's and 30's, actors, actresses and other performers would often go to the extreme measure of having their teeth extracted and dentures made to improve their smile

Mermaid Beach Dentist Veneers can be used to improve a wide variety of cosmetic dental problems. They can whiten stained or discoloured teeth, close gaps between teeth, "correct" a crooked smile without the need for braces, repair chips and imperfections, and create a more attractive or youthful looking smile. The procedure usually involves removing only a thin amount of the outermost layer of the tooth, called the enamel. The dentist then takes moulds of the mouth. Temporary veneers are then placed for the patient to wear while the permanent veneers are being made. The procedure usually takes between one and a half and two hours.

Next, the laboratory carefully crafts the porcelain into veneers. In about two weeks, the veneers are ready for the dentist to fasten to the fronts of the teeth. This process improves the teeth's appearance and strength.

Mermaid Beach Dentist Dental Implants:The loss of a tooth can be very devastating. It doesn’t only affect the way you look, but will also cause other changes in the body, which include altered speaking and dietary habits, incapability of the teeth to perform its natural functions, place strain on remaining teeth, and also weaken the jawbone. Through our Dental Implant procedure, we can fix these issues.

Mermaid Beach Dentist Teeth Whitening:Smoking, drinking red wine and coffee stains all affect our teeth. If your teeth are lacking their lustre, then tooth whitening is definitely the solution. WithZOOM! tooth whitening treatment, we can literally give you a new life with a brighter, whiter smile.

Mermaid Beach Dentist Smile Makeovers:With Smile Makeovers, the latest treatments and techniques in Cosmetic Dentistry can enhance the overall appearance and function of your smile. Smile Makeovers can take away years from your appearance, as well as the way you feel.

Mermaid Beach Dentist Orthodontics:Advancement in dental technology means ugly metal braces are now a thing of the past. Here at Mermaid Beach Dentist, we offer only the latest and the best dental treatments in Orthodontics.

The Mermaid Beach Dentist understands the importance of having a set of beautiful teeth. However, we also make it a point that we create aesthetically beautiful teeth for our clients without sacrificing the total health of your mouth.

Whether you just need to get a chipped tooth repaired or you need a total smile makeover, the highly qualified dental professionals here at Mermaid Beach Dentist will be here to help.

Cosmetic Dentistry will change your life. With a dazzling smile, you can light up a room projecting an image full of confidence and high self-esteem. We just don’t help people have a more beautiful smile, but also help them have more confidence.

Mermaid Beach DentistTooth whitening

Tooth whitening involves the use of peroxide-based materials to whiten teeth. Before tooth whitening, the patient should get all cavities filled, and the gums must be healthy. The in-office systems use 35% hydrogen peroxide gels coupled with a high intensity light to whiten the teeth. The gums need to be protected with some systems, and then gels are placed on the teeth. A laser or plasma arc light source activates the peroxide to oxidize stains on the tooth surface. In about an hour, the teeth become four to six shades lighter.

At-home systems most often use 10 to 20% carbamine peroxide gels to oxidize stains. The dentist makes impressions of the mouth, and then has soft mouth trays made. The patient is fitted with the trays, and then is instructed to place a thin ribbon of the gel into the tray and wear while sleeping. Most whitening occurs in one to two weeks. In difficult cases, trays may need to be worn for up to six weeks. I have found that a combination of in-office and at-home systems works the best, and routinely achieve 12 to 15 shades of whitening. The procedure is safe when monitored by a dentist, and does not damage the tooth in any way.

White fillings (resin, bonding) or porcelain crowns (caps) and bridges will not whiten significantly with either method. Some patients will experience minor tooth sensitivity during whitening procedures. The dentist can remedy this by alternating concentrated fluoride with the peroxide in the mouth trays.

Store bought bleaching systems are not as effective as dentist-managed systems. Unsupervised use of store-bought bleaching systems can cause painful sensitivity to untreated dental cavities. The mouth trays are not custom made, which can cause gum irritation, and the peroxides are not as strong or effective.

If you want to have a great looking smile that will last a lifetime, please don’t hesitate to contact us. Our team will be more than happy to help you with any questions you may have. Contact us today for a consultation. With Mermaid Beach Dentist, you can be sure that you are in good hands.

Description: http://www.cosmeticdentistglebe.com.au/wp-content/themes/kiseki/gallery/10-before.jpg  Description: http://www.cosmeticdentistglebe.com.au/wp-content/themes/kiseki/gallery/10-after.jpg

Description: http://www.cosmeticdentistglebe.com.au/wp-content/themes/kiseki/gallery/01-before.jpg

Description: http://www.cosmeticdentistglebe.com.au/wp-content/themes/kiseki/gallery/01-after.jpg

Description: http://www.cosmeticdentistglebe.com.au/wp-content/themes/kiseki/gallery/02-before.jpg

Description: http://www.cosmeticdentistglebe.com.au/wp-content/themes/kiseki/gallery/02-after.jpg

Description: http://www.cosmeticdentistglebe.com.au/wp-content/themes/kiseki/gallery/03-before.jpg

Description: http://www.cosmeticdentistglebe.com.au/wp-content/themes/kiseki/gallery/03-after.jpg

Description: http://www.cosmeticdentistglebe.com.au/wp-content/themes/kiseki/gallery/04-before.jpg

Description: http://www.cosmeticdentistglebe.com.au/wp-content/themes/kiseki/gallery/04-after.jpg

Description: http://www.cosmeticdentistglebe.com.au/wp-content/themes/kiseki/gallery/05-before.jpg

Description: http://www.cosmeticdentistglebe.com.au/wp-content/themes/kiseki/gallery/05-after.jpg

Description: http://www.cosmeticdentistglebe.com.au/wp-content/themes/kiseki/gallery/05-before-front.jpg

Description: http://www.cosmeticdentistglebe.com.au/wp-content/themes/kiseki/gallery/05-after-front.jpg

Description: http://www.cosmeticdentistglebe.com.au/wp-content/themes/kiseki/gallery/06-before.jpg

Description: http://www.cosmeticdentistglebe.com.au/wp-content/themes/kiseki/gallery/06-after.jpg

Description: http://www.cosmeticdentistglebe.com.au/wp-content/themes/kiseki/gallery/07-before.jpg

Description: http://www.cosmeticdentistglebe.com.au/wp-content/themes/kiseki/gallery/07-after.jpg

Description: http://www.cosmeticdentistglebe.com.au/wp-content/themes/kiseki/gallery/08-before.jpg

Description: http://www.cosmeticdentistglebe.com.au/wp-content/themes/kiseki/gallery/08-after.jpg

Description: http://www.cosmeticdentistglebe.com.au/wp-content/themes/kiseki/gallery/09-before-a.jpg

Description: http://www.cosmeticdentistglebe.com.au/wp-content/themes/kiseki/gallery/09-after-a.jpg

Description: http://www.cosmeticdentistglebe.com.au/wp-content/themes/kiseki/gallery/09-before-b.jpg

Description: http://www.cosmeticdentistglebe.com.au/wp-content/themes/kiseki/gallery/09-after-b.jpg


To make an appointment

Click Here

Or to ask our friendly staff a question please call: {Number}

{Address}Mermaid Beach {Region}